fbpx

طبيب اسنان محمد اكتورك - طرابزون - تركيا

تعتبر أسنان الزركونيوم من أكثر العلاجات المفضلة اليوم. إنها طريقة يستخدمها بشكل خاص أولئك الذين يريدون المظهر المثالي من الناحية الجمالية. وهي مصنوعة بطريقتين ، التاج والتاج.

بناء الأسنان من الزركونيوم هو علاج يحدث في وقت قصير. على الرغم من كونه تطبيقًا مكلفًا من حيث السعر ، إلا أنه أحد التطبيقات التي تستحق المال نتيجة لذلك. بفضل هذا التطبيق ، الذي يتم إجراؤه في معظم مستشفيات الأسنان ، تبدو الأسنان صحية وطبيعية.

يمكنك العثور على تفاصيل حول طلاء الزركونيوم في العناوين أدناه.

ما هو الزركونيوم؟

ما هو الزركونيوم: الزركونيوم هو من المعادن النقية الموجودة في الطبيعة. مع معالجة هذا الهيكل الطبيعي ، يظهر سيراميك الزركونيا. الأسنان مغطاة بهذا السيراميك المحضر في الأفران. بفضل هذا الهيكل الصحي للغاية ، يتم الحصول على مظهر جمالي في الفم.

يتكيف الزركونيوم المنتج لمجموعة الطلاء الخالية من المعدن مع الفم في وقت قصير. وقت التعود لدى المريض قصير للغاية ، مما يجعله يشعر وكأن أسنانه قد عادت مرة أخرى. بالإضافة إلى أنها من الجوانب الإضافية التي لا تضر بالصحة.

ما هو أسنان الزركونيوم؟

ما هو سن الزركونيا: هو سن ينتج من سيراميك الزركونيا ويظهر بعد معالجة معدن الزركونيوم بواسطة أفران خاصة. تكشف هذه الأسنان ، التي لها بنية رقيقة جدًا ، مظهرًا لا تشوبه شائبة عند النظر إليها من الخارج.

تنقسم أسنان الزركونيوم إلى قسمين أسنان مدعمة بالمعدن وخالية من المعدن. على الرغم من أن المواد المدعمة بالمعادن أفضل من حيث المتانة ، إلا أنها قد تسبب أحيانًا حالات مسببة للحساسية. يمكن استخدام الأسنان المصنوعة بدون دعامة معدنية لسنوات عديدة دون التسبب في أي مواقف سلبية. بالإضافة إلى ذلك ، نظرًا لأنه يمكن أن ينقل الضوء بسبب بنيته ، فإنه يزيد من الطبيعة الطبيعية أكثر.

ما هو قشرة الزركونيوم؟

قشرة الزركونيوم هي نوع من العلاج للأسنان لاستعادة مظهرها الطبيعي. هو تغطية كاملة لسطح السن باستخدام الزركونيوم. كما أنها أخذت مكانها في الطب كتاج أو تاج كاسم آخر.على الرغم من أنه يستخدم في الغالب لتغطية الأسنان التالفة ، إلا أنه يستخدم لزيادة الإدراك الجمالي اليوم. نظرًا لأن فترة العلاج قصيرة جدًا ، فهي طريقة مفضلة دائمًا. بالإضافة إلى ذلك فإن عدم وجود أي ضرر للفم من أسباب التفضيل.

أسعار قشور الزركونيوم للأسنان

الزركونيوم هو تطبيق أغلى قليلاً من علاجات الأسنان الأخرى من حيث السعر. المواد المستخدمة فعالة أيضًا في أسعار طلاء الزركونيوم. على الرغم من أن أسعار أسنان الزركونيوم تختلف بشكل عام باختلاف المستشفى وطبيب الأسنان ، إلا أنها تتمتع بمتوسط ​​سعر.يزيد سعر أسنان تاج الزركونيوم وينخفض ​​حسب المحتوى المعدني ، وغياب تفاصيل المعدن والتاج والأكريليك.



أولئك الذين لديهم قشرة الزركونيوم؟

أولئك الذين لديهم أسنان من الزركونيوم عادة ما يفعلون ذلك لتدمير أسنانهم التالفة. بصرف النظر عن هذا ، يتم إجراؤه لجعل الابتسامة جميلة ولجعل الفم يبدو نظيفًا.يجب على أولئك الذين يفضلون قشرة الزركونيوم التقدم أولاً إلى مستشفى جيد ورؤية طبيب أسنان جيد. وبهذه الطريقة يمكنهم تحقيق مظهر جميل في وقت قصير دون القلق بشأن صحة الفم. خلاف ذلك ، قد يواجهون مشاكل مختلفة في صحة الفم لفترة طويلة.

لاصق الزركونيوم للأسنان؟

قد يكون من الممكن أن تتحرك أسنان الزركونيوم أو تتساقط نتيجة مواقف مختلفة. في هذه الحالات ، لا يكون تدخل الفرد ممارسة صحية أبدًا. لأن شروط النظافة يمكن إهمالها أثناء التطبيق في بيئة المنزل. هذا يمكن أن يسبب مشاكل كبيرة.يمكن للمريض التصرف بوعي حيث يتم إخبار المريض بما يجب فعله في حالة كسر أسنان الزركونيوم أثناء عملية الطلاء. خاصة بالنسبة للكسور المفاجئة ، لدى الأطباء العديد من التوصيات والتأكيد على ضرورة إتباع هذه التوصيات.عندما يخرج سن الزركونيوم أو يتحرك ، يجب الاتصال بالمستشفى الذي صنعت فيه القشرة. بعد ذلك يتم تحديد ما يجب القيام به ويتم تثبيت السن المشوه في مكانه في وقت قصير. إذا كان يتكرر باستمرار ، فقد يكون استبدال الطرف الاصطناعي هو الحل النهائي في هذه الحالات.

أضرار قشرة الأسنان بالزركونيوم

مع العلاج بالزركونيوم ، يمكن للمريض استعادة راحة الفم في وقت قصير. هذا التطبيق مفيد للغاية خاصة للأسنان المتسوسة ولإزالة المظهر الجمالي السيئ.أثناء صنع أسنان الزركونيوم ، قد يكون هناك ضرر طفيف للأسنان المصنوعة من المعدن فقط إذا كانت مدعومة بالمعدن أم لا. بالنسبة للأشخاص الذين لديهم حساسية من المعدن الموجود في طلاء الأسنان المصنوع من المعدن ، قد يحدث تلف بسيط هنا ، مع مراعاة ذلك ، قد يُفضل طلاء الزركونيوم الخالي من المعدن.قص أو ترقق الأسنان أثناء صنع الزركونيوم لا يضر السن ، ويزال الجزء الضار بالفم. في بعض الأحيان ، يمكن تطبيق هذا الإجراء على الأسنان لأغراض جمالية. ومع ذلك ، لا يوجد أي ضرر في طلاء الزركونيوم لصحة الإنسان.

كيف يتم صنع قشرة الزركونيوم للأسنان؟

في تطبيق أسنان الزركونيوم ، أولاً وقبل كل شيء ، يتم التقاط الفيلم من أجل الرؤية الكاملة لفم الشخص. ما يمكن عمله بعد ذلك يتم التخطيط له ومشاركته مع المريض. يتم أخذ القياسات بعد قبول المريض للعلاج.تكتمل عملية طلاء الأسنان بالزركونيوم تقريبًا بعد تدخلات صغيرة في الفم بعد عملية الانطباع. أثناء عملية العلاج يتم وضع الأسنان المؤقتة في الفم حتى يتم صنع الأسنان حسب أبعادها. عندما تأتي الأسنان المصنوعة من معدن الزركونيا ، يتم إزالة أطقم الأسنان المؤقتة وتركيب أطقم الأسنان الدائمة. يتم استخدامه لفترة زمنية معينة بعد العملية. بعد ذلك يمكن للمريض مواصلة حياته الطبيعية من حيث توقف.

أسعار قشرة الأسنان مستشفى الدولة الزركونيوم

تصنع الأسنان أيضًا من الزركونيوم في المستشفيات الحكومية. هذه الأسنان ، التي هي بأسعار معقولة جدًا مقارنة بالمستشفيات الخاصة الأخرى ، يفضلها معظم الناس.من بين أولئك الذين لديهم الزركونيوم في مستشفى الدولة ، هناك من راضون ومن ليسوا كذلك. لأنه لا يمكن لكل طبيب أن يطبق العلاج الجيد. لذلك ، يجب أن يقوم بهذه الإجراءات طبيب جيد.يتم طلاء الزركونيوم في المستشفيات العامة لفترات أطول من تلك الموجودة في المستشفيات الخاصة. على الرغم من أن هذا يرجع إلى حقيقة أنها تعمل بجهد كبير ، إلا أن الأسنان تصنع دائمًا في الوقت المحدد.

نماذج أسنان الزركونيوم

يمكن إجراء التطبيق عن طريق اختيار الزركونيوم ، وهو الأكثر استخدامًا في تجميل الأسنان ، والعديد من نماذج الأسنان. مع اختيار المريض ، تتم عملية العلاج التدريجي بنجاح.النماذج المستخدمة لأسنان الزركونيوم هي:• النوع العدواني• النوع الوظيفي• نوع متقدم• نوع بيضاوي• النوع الناضج• نوع الشباب• نوع قوي• نوع ناعم• النوع الطبيعي• نوع هوليوود• النوع المركّز• النوع السائدتستخدم النماذج المذكورة أعلاه في صنع أسنان الزركونيوم. بعد أن يختار المريض بين النماذج ، يبدأ العلاج. بما أن عملية العلاج تستمر لمدة أقصاها 5 أيام ، فلا توجد مشكلة من حيث الوقت بالنسبة للمريض والطبيب.



ألوان أسنان الزركونيوم

كما أن لون الأسنان المصنوعة من الناحية الجمالية مهم جدًا. تصنع الأسنان بألوان الأسنان المرغوبة في الفم برموز ألوان مختلفة. على وجه الخصوص ، تكون الأسنان المختارة إما طبيعية جدًا أو بيضاء جدًا. نظرًا لأن هذه الاختيارات تُترك فقط لتفضيل الشخص ، يجب اختيار رموز الألوان هذه بشكل صحيح.يُلاحظ أن الألوان الطبيعية هي الأكثر تفضيلًا عند اختيار ألوان أسنان الزركونيوم. ثم يتم اختيار لون أسنان أبيض. بل إنه مدرج في اللغة الطبية باعتباره أحد أسنان أسلوب هوليوود. الأسماء اللونية لأسنان الزركونيوم مذكورة أدناه:• A1• A2• A3• A3.5• A4• B1• B2• B3• B4• C1• C2• C3• C4• D2• D3• D4يكون اللون الأخف للحروف والأسماء أعلاه هو B1 ، ومع زيادة الأرقام ، تصبح الألوان أغمق. من خلال الاهتمام بهذه الحروف والأرقام ، تصنع الأسنان حسب التفضيلات الشخصية.

الزركونيوم أم الخزف؟

تعتبر أسنان الزركونيوم من أكثر مواد طب الأسنان المفضلة اليوم. ومع ذلك ، يتم استخدام العديد من مواد البناء أيضًا. من بين هؤلاء ، غالبًا ما يتم تضمين أسنان البورسلين الأكثر تفضيلًا ، مع الزركونيوم ، في الأدبيات باعتبارها أكثر مواد البناء المفضلة.على الرغم من أن أسنان البورسلين جميلة من الناحية الجمالية بسبب بنيتها الرقيقة ، إلا أنها لا تتشكل كثيرًا بسبب بنيتها المسطحة. ومع ذلك ، فإن الأسنان المصنوعة من الزركونيوم أكثر فائدة. لأن مادة البناء هذه يمكن أن تأخذ شكلًا أكثر وتظهر متانة أكثر من البورسلين. أثناء تناول الطعام لا يسبب مشاكل في المضغ والتقطيع كما في الأسنان العادية.وقد ثبت في الاختبارات أنه يدوم لفترة أطول لأسنان الزركونيوم. ومن الحقائق أيضًا أن أسنان البورسلين تتشوه بعد فترة طويلة. لذلك يعتبر الزركونيوم مادة بناء واعدة الاستقبال.

أحادي الزركونيوم

لا يستخدم البورسلين في طلاء الأسنان المتآلف من الزركونيوم ، كما أن عملية الطلاء مصنوعة من الصفر. خاصة أثناء العمليات ، فإن عمليات التصميم والتلوين التي تتم بدون استخدام البورسلين تخلق صورة طبيعية جدًا.في عملية الطلاء المصنوعة من الصفر ، تتم المعاملة في كتل. في هذه العملية ، التي يتم تطبيقها في الغالب على الأسنان الأمامية ، يتم استهداف الأسنان المكسورة. بالإضافة إلى ذلك ، فهي ممارسة جيدة جدًا للمرضى الذين يعانون من صعوبة في تناول الطعام.إنه تطبيق منقذ للحياة يلعب دوره أيضًا في الحالات التي تصبح فيها الأسنان حساسة في طلاء الأسنان المتآلف من الزركونيوم.

التعود على أسنان الزركونيوم

يتم تثبيت الأسنان المؤقتة أولاً خلال تاج الزركونيوم. خلال هذا الوقت ، يتم تحضير الأسنان الأصلية. بعد وقت قصير يتم إزالة الأسنان المؤقتة واستبدالها بأسنان دائمة. بعد هذه الإجراءات ، يواجه الفم مشكلة في التكيف. ومع ذلك ، فإن هذه المشكلة تمر دون أن تؤثر على حياة المريض الطبيعية لفترة طويلة.بينما تستغرق عملية التعود على أسنان الزركونيوم أسبوعًا واحدًا كحد أقصى ، فإن هذه الفترة تختلف من مريض لآخر باعتبارها الحد الأقصى للوقت. بالإضافة إلى ذلك ، قد تكون هذه الفترة طويلة بالنسبة لأولئك الذين يعانون من حساسية الحنك وبعض مشاكل الفم. ومع ذلك ، فقد أثبتت التطبيقات أنه لا يتجاوز بالتأكيد أسبوعًا واحدًا.

إصلاح أسنان الزركونيوم المكسور

بعد الانتهاء من عملية الطلاء ، هناك فترة من التعود على الأسنان ويمكن للفم التحكم في الأسنان. بالطبع ، استخدام الأسنان بالقوة خلال هذا الوقت يمكن أن يضر الأسنان. في بعض الحالات ، قد يتسبب ذلك في حدوث تشقق ومزيد من الكسر.أسنان الزركونيوم مصنوعة من الزركونيا ، والتي يتم إنتاجها بمعالجة الزركونيوم شديد التحمل في أفران خاصة. نظرًا لأن مادة البناء هذه متينة لسنوات عديدة ، فقد تنكسر نتيجة الضغوط المفرطة. لا ينبغي أبدًا تفضيل التدخل الشخصي من بين الأشياء التي يجب القيام بها عند حدوث هذه النتائج. بدلا من ذلك ، يجب استشارة طبيب الأسنان.عندما ينكسر سن الزركونيوم في الفم لأي سبب من الأسباب ، يجب أولاً وقبل كل شيء التزام الهدوء والذهاب إلى المستشفى حيث يتم صنع الأسنان. بعد هذه المرحلة ، يقوم الطبيب بالتدخل اللازم ويمكنه أيضًا إجراء قياسات للطرف الاصطناعي مرة أخرى وارتداء طرف اصطناعي جديد إذا لزم الأمر.

أسئلة مكررة

الأشخاص الذين يرغبون في الحصول على التطبيق لديهم أسئلة مختلفة في أذهانهم. دعونا نفحص هذه الأسئلة وإجاباتها بالتفصيل أدناه.

الزركونيوم A1 أو B1؟

أولئك الذين سيختارون اللون a1 أثناء وجود طلاء الزركونيوم سيفضلون لونًا مصفرًا أكثر قليلاً. أولئك الذين يختارون اللون B1 يختارون لونًا أكثر بياضًا.

ما هو الزركونيوم قشرة الأسنان؟

إنها عملية طلاء مصنوعة من زركونيا متينة يتم الحصول عليها بعد معالجة معدن الزركونيوم في أفران خاصة.

هل يتم إدخال أسنان الزركونيوم واحدة تلو الأخرى؟

بينما يتم لصق أسنان الزركونيوم ، في بعض الحالات يمكن ارتداؤها منفردة ، وفي بعض الحالات كسنان كامل حسب الحجم المأخوذ من الفم.

ما هو لون الأسنان الزركونيوم A1؟

يعتبر لون الأسنان A1 من أقرب الألوان إلى لون الأسنان الطبيعي المستخدم في عمليات القشرة.

هل يمكن تغيير لون أسنان الزركونيوم؟

من الممكن تغيير لون أسنان الزركونيوم عند إدخالها لأول مرة بعد العملية.


الزركونيوم أم الرقائقي أم الرقائقي أم الزركونيوم؟

يجب تفضيل الزركونيوم لصنع أسنان متينة للغاية. على الرغم من أن الأسنان المصفحة توفر مظهرًا أكثر جمالية ، إلا أنها ليست متينة مثل الزركونيوم.

كيف يصنع الزركونيوم؟

يستخدم الزركونيوم كمادة بناء في صناعة الأسنان من الزركونيا التي يتم الحصول عليها باستخدام أفران خاصة.


طبيب اسنان محمد اكتورك - طرابزون - تركيا

الفرق بين الزركونيوم والبورسلين؟

الأسنان المصنوعة من البورسلين مسطحة ويصعب تشكيلها. من ناحية أخرى ، يمكن تشكيل الزركونيوم بسهولة بسبب هيكله ، لذلك فهو أكثر جمالية وأكثر متانة.

أسنان البورسلين أم الزركونيوم؟

على الرغم من أن الخزف مفضل من حيث المال ، إلا أن أسنان الزركونيوم لها ميزات إضافية أكثر من الأسنان المصنوعة من البورسلين.

عمر الأسنان الزركونيوم؟

عمر أسنان الزركونيوم طويل جدًا ، ويستمر وجوده في الفم دون أي مشاكل عند استخدامه بحذر ، طالما أنه لا يتم إجباره بشكل مفرط.


 
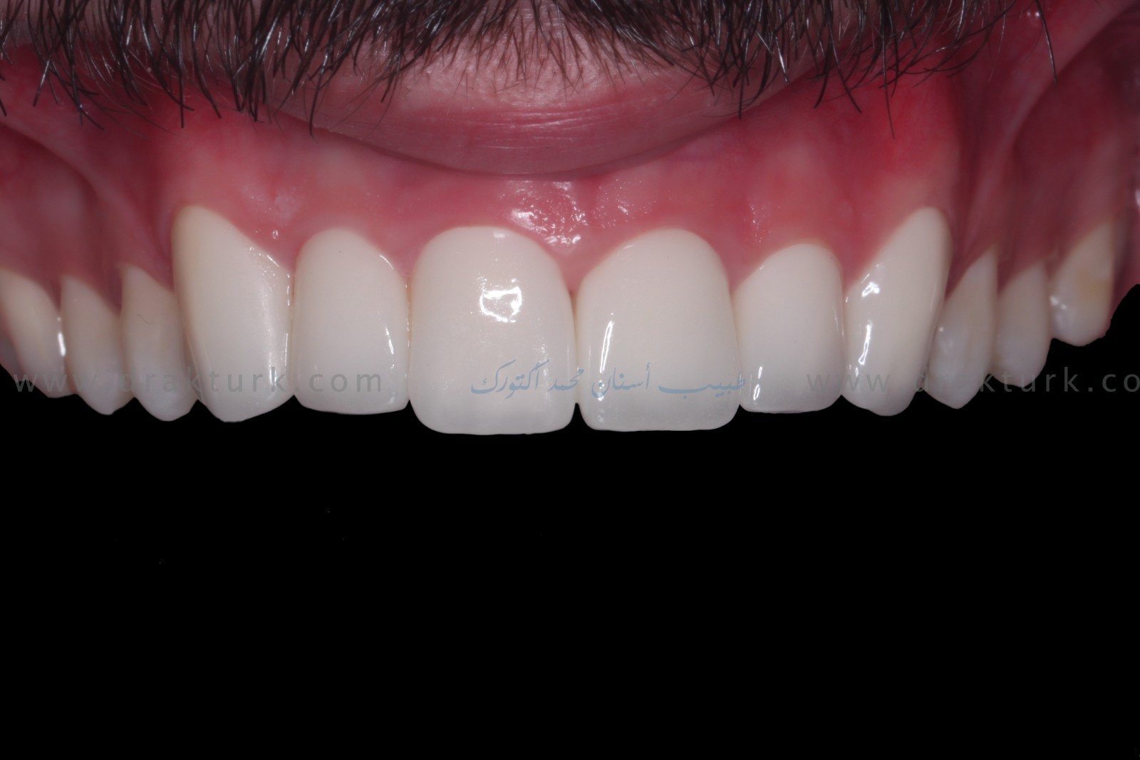
: مثال على العلاجات التي قمنا بها

تصميم الابتسامة: بورسلين الزركونيوم 


قبل



قبل



بعد



في عيادتنا في طرابزون ، حيث يتم استخدام الأجهزة التكنولوجية الحديثة ، يتم تنفيذ تطبيقات التاج أو الجسر المدعومة بالأسنان أو المزروعة بنجاح مع سنوات من الخبرة من الحالات البسيطة إلى الحالات المتقدمة ومئات المراجع السعيدة للمرضى.