مرحبا بكم في مركز الابتسامة ...
في جو مريح حيث يتم استخدام التكنولوجيا الرقمية وأجهزة الكمبيوتر في الغالب ، وفي خضم التقنيات الحديثة وبناءً على خبرة الأطباء المتميزين ، نقدم لك ولأطفالك جميع المتطلبات الطبية للأسنان والفكين. تقدم عيادة محمد أكتورك للأسنان إعادة تأهيل كاملة للفم مع خدمات طب الأسنان التجميلية والترميمية وتقدم لك ابتسامة تغير حياتك وتزيد من ثقتك بنفسك وتحمي صحة الفم واللثة وتبقيك بعيدًا عن الالتهابات والروائح الكريهة. في عيادتنا في طرابزون ، ستجد بيئة طبية وتجميلية تناسب أسلوب حياتك وتقلل من مخاوفك.
عيادة محمد أكتورك لطب الأسنان تركيا
عيادة أسنان من جيل جديد وراقية وموثوقة وأفضل في طرابزون ، تركيا. مع طاقم أطباء الأسنان ذوي الخبرة ، في بيئة حذرة وصحية ، تحصل عيادة محمد أكتورك لطب الأسنان في تركيا على الدعم من الأجهزة الحديثة لتزويدك بأفضل خدمة طب الأسنان. وبالتالي ، فهو يوفر لك أفضل راحة ويسمح لك باستعادة صحتك في أسرع وقت ممكن. تقع عيادتنا التي تخدم جميع مجالات صحة الفم والأسنان في مدينة طرابزون التركية التي تعد من أجمل المدن السياحية. دعونا نجري تغييرًا ونرسم ابتسامة مثالية على وجهك من خلال عيادة طب الأسنان لدينا في طرابزون / تركيا. كعائلة لعيادة محمد أكتورك لطب الأسنان ، مع طاقم أطباء الأسنان الخبراء لدينا في مجالاتهم ، نضيف الكثير من الابتسامات إلى حياتك مع القليل من اللمسات. نحن هنا لنمنحك صحتك وابتسامتك الرائعة مرة أخرى. ونحن نتطلع إلى الترحيب بكم.
اجازة جميلة واسنان صحية وابتسامة جميلة. الاثنين معا. اهلا وسهلا بكم في عيادتنا في طرابزون أجمل مدينة في البحر الأسود.
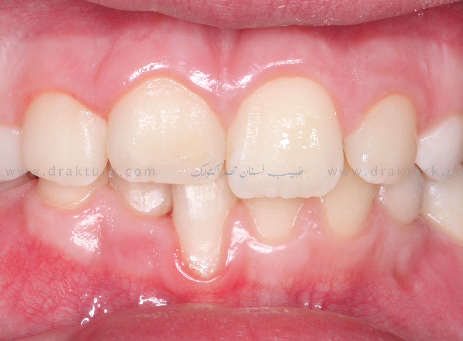
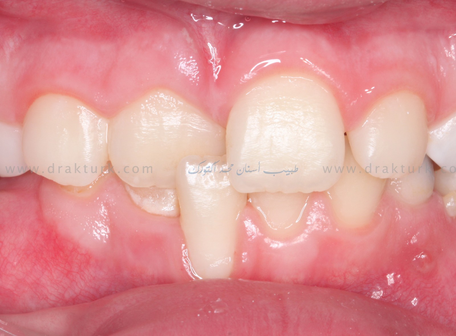
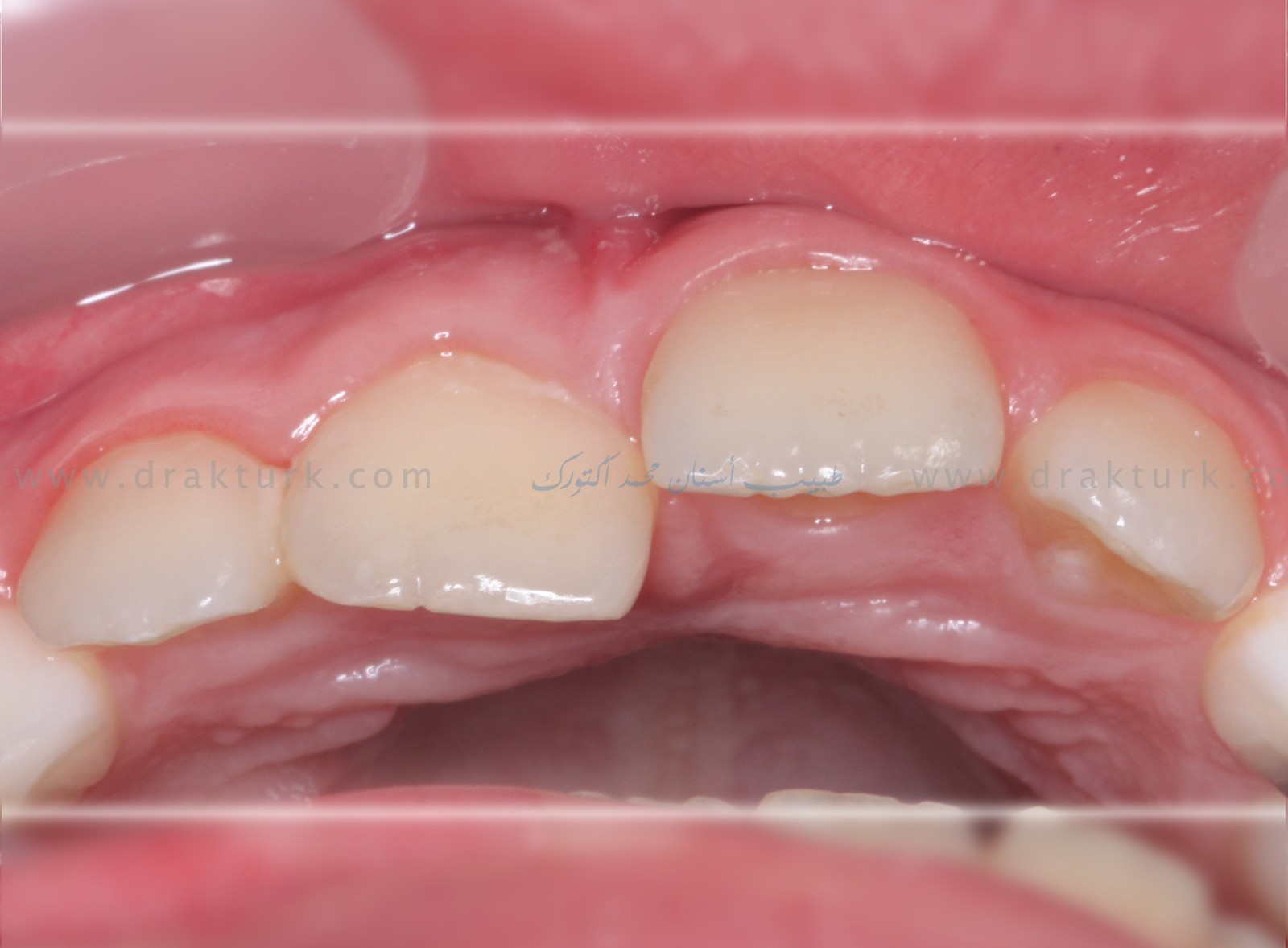
: مثال على العلاجات التي قمنا بها
العلاج المبكر للعضة المستعرضة الأمامية في مريض صغير
قبل
قبل
بعد
في جو مريح حيث يتم استخدام التكنولوجيا الرقمية وأجهزة الكمبيوتر في الغالب ، وفي خضم التقنيات الحديثة وبناءً على خبرة الأطباء المتميزين ، نقدم لك ولأطفالك جميع المتطلبات الطبية للأسنان والفكين. تقدم عيادة محمد أكتورك للأسنان إعادة تأهيل كاملة للفم مع خدمات طب الأسنان التجميلية والترميمية وتقدم لك ابتسامة تغير حياتك وتزيد من ثقتك بنفسك وتحمي صحة الفم واللثة وتبقيك بعيدًا عن الالتهابات والروائح الكريهة. في عيادتنا في طرابزون ، ستجد بيئة طبية وتجميلية تناسب أسلوب حياتك وتقلل من مخاوفك.
زرع
زراعة الأسنان هي أجهزة طبية يتم زرعها جراحيًا في الفك لاستعادة قدرة الشخص على المضغ أو مظهره. أنها توفر الدعم للأسنان الاصطناعية (الزائفة) ، مثل التيجان أو الجسور أو أطقم الأسنان.<.....
تيجان وجسور الأسنان
تيجان وجسور الأسنان من الإجراءات الشائعة جدًا التي يتم إجراؤها في عيادة الأسنان. والغرض العام منها هو إعادة السن أو الأسنان إلى وظيفة المضغ الكاملة.
.....
تبييض الأسنان تبييض
تبييض الأسنان هو الإجراء الأكثر شيوعًا في طب الأسنان التجميلي. يعد تبييض الأسنان أحد أكثر علاجات الأسنان تحفظًا وفعالية من حيث التكلفة للأسنان التي تغير لونها مقارنة بالطرق العدوان.....
معالجة قنوات جذور الأسنان
ما هو علاج عصب الأسنان؟
يوجد داخل الأسنان حجرة صغيرة (لب) تحتوي على أوعية دموية وأعصاب ، والتي تعطي الحياة للأسنان. هذا الهيكل ، الذي يسمح للأسنان بالنمو والدوام ، يعمل أيضًا بم.....
طب اسنان الاطفال
تعتبر ممارسات طب الأسنان الوقائي مهمة جداً في علاج الأسنان للأطفال. يعتبر طب الأسنان للأطفال غير مؤلم و لا يسبب رهاب طبيب الأسنان، بحيث يُفضّل القيام بالإجراءات الوقائيّة عند القيا.....
خلع الأسنان
يتم سحب الأسنان لأسباب مختلفة: ذهب التسوس عميقا في السن. تدمر العدوى معظم الأسنان أو العظام المحيطة بها. لا توجد مساحة كافية في فمك لجميع الأسنان.
.....
خلع ضرس العقل
ضروس العقل هي آخر مجموعة من أسنان البالغين تنمو فيها. وتسمى أيضًا "الأضراس الثالثة" ، وتقع ضروس العقل في الجزء الخلفي من فمك. في بعض الأحيان ، تنمو ضروس العقل بشكل صحيح ولا تسبب أي.....
تيجان الزركون
التقط التغيير الجمالي في ابتسامتك مع “تيجان الزركونيوم”. توفر أسنان الزركونيوم المصنوعة من البورسلين مظهرًا ممتازًا وجماليًا مع نفاذية الضوء والتركيبات القوية.
.....

سعادتنا العظمى:
ابتسامة مرضانا
نحن معكم لعلاج جميع أنواع مشاكل صحة الفم والأسنان مع أطبائنا ذوي الخبرة. إنها أعظم سعادتنا أن يتمتع مرضانا بابتسامة جميلة وصحية. أسنان صحية ، ابتسامات سعيدة ...
سنة من الخبرة
مريض سعيد
التقييمات
من مرضانا
العنوان
İskenderpaşa Mahallesi, Gazipaşa Caddesi, Gazipaşa Sitesi Kat:3 Daire:16 Ortahisar / TRABZON
الهاتف
+90 462 277 7777
+90 552 387 7677
لبريد الالكتروني
info@kliniktrabzon.com
ساعات العمل لدينا
9:00 AM - 6:30 PM : الاثنين - السبت
